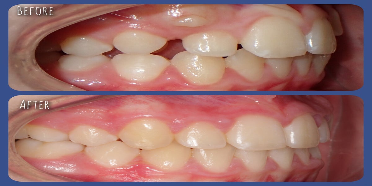
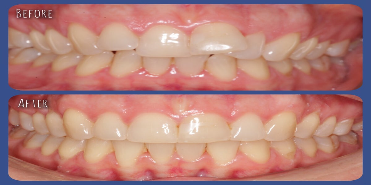
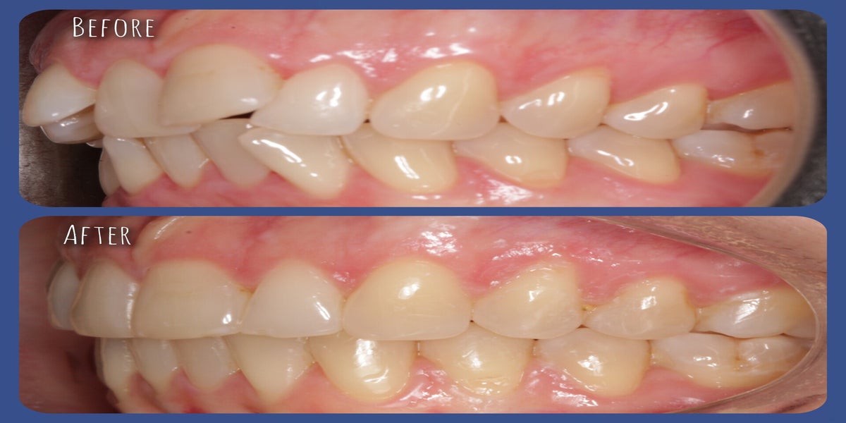
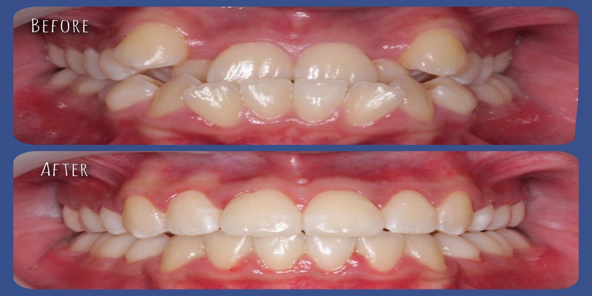
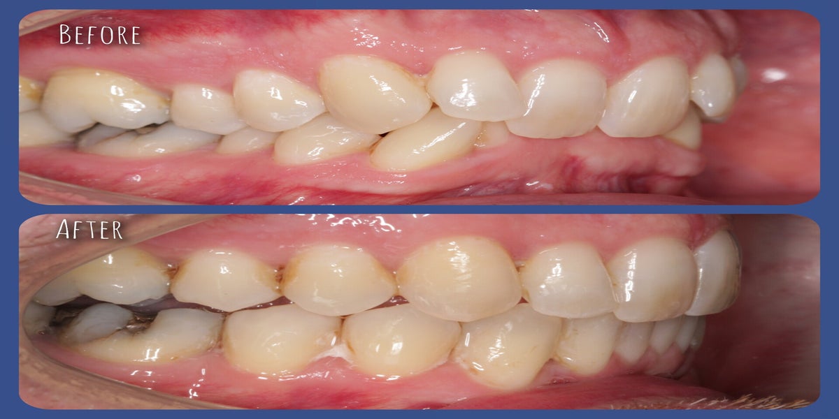
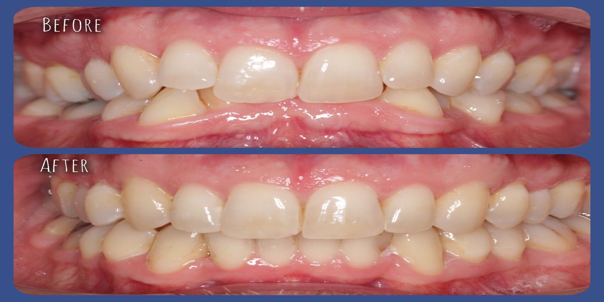
Before and After Gallery

All cases shown above were treated by Ciarán Devine - Specialist Orthodontist. 

(Expand for a clearer view)

Transform Your Smile Today!

Book an appointment with Maynooth Orthodontics to start your journey to a perfect smile.